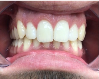
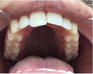
In Figure 2, 3 you can see the magnitude of the misplacement (Photo 2, 3). Because of the length difference, the pressure has always been higher on the left tooth, causing its movement outwards, more than the other incisor. This caused the length difference to increase even more, making me lose the focused sound that I wanted.
To make up for the inconvenience of having to place the clarinet diagonally (Photo 1) I came up with the idea of attaching some rubber shims on the side of the mouthpiece under the tooth that was struggling to reach the mouthpiece. But as I expected, it was not a sustainable solution, although it helped me finish my bachelor's. Soon I started treatment with clear aligners with the intention of solving the problem.
After the treatment, the misalignment has been restored to the initial stage, but my teeth are still slightly different and I’m sure that the pressure could move them again within a big period. Therefore, I started my research to find a way to prevent this problem and to help other clarinet players who deal with malocclusions.


